Case Studies

Witness inspiring journeys of recovery and renewed life through our patient success stories. See how expert hip care transforms lives.

Success Stories

Case Studies

Hip Replacement Case Study

Successful Hip Recovery

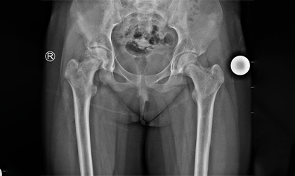
72-year-old gentleman diagnosed with primary osteoarthritis of the right hip, noted to have subchondral cysts in the femoral head

Read More
Knee Replacement Case Study

Dysplasia, Solved, Thriving

26-year-old woman diagnosed with hip dysplasia characterized by a shallow hip socket.

Read More
Joint Replacement Case Study

Cancer, Hips, Triumph

This is one of the youngest girls I have done a hip replacement in. Her right hip was replaced at the age of 13,

Read More
Hip Arthroscopy Case Study

Bilateral Hip Recovery

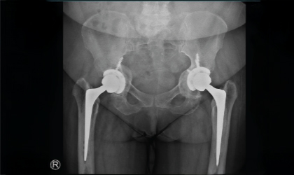
This 34 year old medical representative had avascular necrosis with collapse of both her hips

Read More
Sports Injury Case Study

Rapid Recovery, Delighted

This 82-year-old lady, mother of a doctor, developed sudden and rapidly worsening hip pain over the course of a month.

Read More
Bilateral Knee Replacement Case Study

Independent, Pain-Free, Walking

This 68 year old lady has a condition called protrusio where the socket becomes weak and protrudes into the pelvis

Read More
Elderly Hip Fracture Case Study

Complex Hip, Restored

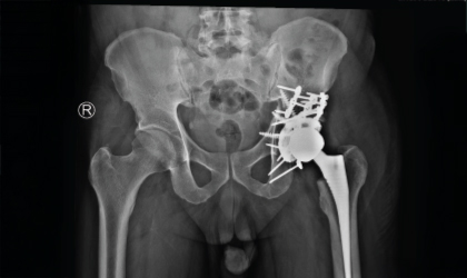
This 62 year old man had a fracture dislocation of his hip following a road traffic accident.

Read More
Revision Knee Surgery Case Study

Rheumatoid Arthritis, Conquered

This 54 year old professor from a medical college was referred to us with severe damage to both hips

Read More
Early Intervention Case Study

Length Restored, Life Restored

This 62 year old driver travelled all the way from his home in Wayanad to have the hip revised.

Read More
Early Intervention Case Study

Stem Fracture, Revised Successfully

This 83 year old gentle man had a hip fracture 25 years ago. This became painful recently

Read More