Understand your hip health. Explore comprehensive information on conditions, procedures, and what to expect on your path to recovery.
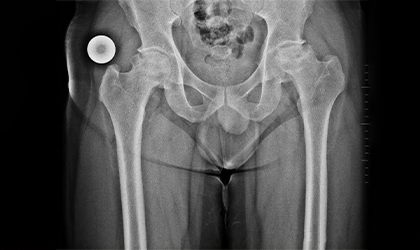
This 34 year old medical representative had avascular necrosis with collapse of both her hips We replaced both his hips together. He was in hospital for 5 days. Presently symptom free
Imaging showed advanced avascular necrosis and collapse in both hip joints. A decision was made to proceed with bilateral total hip replacement during the same hospital stay.
Both hips were replaced during a single surgery. The patient was hospitalized for 5 days, where she began early mobilization and physiotherapy as part of a fast-track recovery protocol.
Today, she is completely symptom-free and has returned to her daily routine without restrictions. Her recovery highlights the effectiveness of early surgical intervention and multidisciplinary care.