Understand your hip health. Explore comprehensive information on conditions, procedures, and what to expect on your path to recovery.
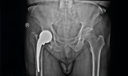
This 83 year old gentle man had a hip fracture 25 years ago. This became painful recently. He had an interesting (to the surgeons!) complication with a fracture of the stem in 3 places. This was revised to a total hip replacement. We used a longer stem to bypass the defects. He is mobile with a stick.
The patient’s old implant stem had fractured in three distinct places — a very rare and complex complication. This required careful planning for revision.
Post-surgery, he recovered well and is now independently mobile using a walking stick, regaining comfort and stability after years of discomfort.
Despite his age and the complexity of the case, the revision surgery was a success. With restored mobility and reduced pain, he enjoys independence in his daily activities.