One of the most experienced
hip arthroplasty specialists in Kerala
Dr. Bipin Theruvil's qualifications extend to his postgraduate training, where he completed his MS Orthopaedics from the renowned All India Institute of Medical Sciences (AIIMS), New Delhi, graduating as the best outgoing student. He further honed his skills during his two-year Senior Residency at AIIMS, specializing in complex primary and revision joint replacements under the guidance of Prof. Surya Bhan and Prof. Rajesh Malhotra. Additionally, he holds a Certificate of Completion of Training (CCT) from the General Medical Council of the United Kingdom, indicating successful completion of his training in Joint Replacement and Trauma.
Our unit performs one of the largest numbers of hip replacements in Kerala. Dr Bipin has over 30 years of experience in orthopaedics. Having done the prestigious Bournemouth (UK) Hip Fellowship, Dr Bipin has a special interest in complex hip surgeries including replacements and revisions. He has worked with some of the biggest names in hip surgery in the UK including Prof Rob Middleton, Prof Doug Dunlop and Mr Jeremy Latham
Even though Dr Bipin works in a private setup, he continues to pursue his research interests. He is an associate editor at the Indian Journal of Orthopaedics and edit the hip section. His work is referenced in major orthopaedic textbooks such as Campbell’s Orthopaedics and Rookwood and Green’s fractures. His research works have been presented at the AAOS, BOA and EFORT and several national conferences. He is an invited speaker for several international and national conferences He has over 30 Pubmed indexed publications
Read MoreWith more than 25 years of experience in orthopedics, Dr. Bipin Theruvil has received training from prestigious institutions in India, the UK, and the US. His expertise spans across a variety of orthopedic specialties, offering patients comprehensive care backed by a wealth of knowledge and skill. Dr. Theruvil's dedication to his field and his diverse training background ensure that patients receive top-notch orthopedic care tailored to their individual needs.
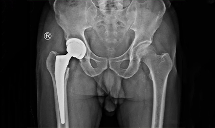
Performing over 500 hip surgeries, Dr. Bipin Theruvil demonstrates extensive expertise in orthopedics. His surgical experience encompasses various procedures such as hip replacement, hip arthroscopy, and fracture repair, ensuring patients receive high-quality care for a range of hip conditions. Dr. Theruvil's proficiency and dedication to advancing surgical techniques contribute to successful outcomes and improved quality of life for his patients.
Having conducted over 1000 knee replacements, Dr. Bipin Theruvil showcases remarkable proficiency in orthopedic surgery. His extensive experience spans a diverse array of cases, including total knee replacements, partial knee replacements, and complex revision surgeries. Dr. Theruvil's commitment to excellence and patient-centric approach ensure optimal outcomes, restoring mobility and enhancing quality of life for individuals suffering from knee arthritis or other debilitating conditions.
Explore real-world examples of successful surgical interventions by Dr. Bipin Theruvil. These cases highlight innovative techniques and personalized care that have transformed patients' lives.
Each case study provides detailed insights into the challenges faced, approach taken, and outcomes achieved, demonstrating Dr. Theruvil's expertise in hip and knee replacements.Each case study provides detailed insights into the challenges faced, approach taken, and outcomes achieved, demonstrating Dr. Theruvil's expertise in hip and knee replacements.Each case study provides detailed insights into the challenges faced, approach taken, and outcomes achieved, demonstrating Dr. Theruvil's expertise in hip and knee replacements.
Read More
Lorem ipsum dolor sit amet consectetur. Donec habitasse commodo ullamcorper morbi bibendum. Blandit phasellus mi donec posuere. Sed id augue sit dolor. Tortor proin at sem feugiat porta dolor enim lacus quam. Cras auctor porttitor a diam malesuada duis in nulla magna. A felis quam facilisis netus. Adipiscing faucibus at fringilla.
Lorem ipsum dolor sit amet consectetur. Donec habitasse commodo ullamcorper morbi bibendum. Blandit phasellus mi donec posuere. Sed id augue sit dolor. Tortor proin at sem feugiat porta dolor enim lacus quam. Cras auctor porttitor a diam malesuada duis in nulla magna. A felis quam facilisis netus. Adipiscing faucibus at fringilla.
Dr. Theruvil specializes in orthopedic surgeries, with a particular focus on arthroplasty. Renowned for his expertise in hip surgeries, he also offers services in sports medicine. Additionally, he excels in trauma and fracture management. His proficiency extends to various aspects of orthopedics, making him a versatile and skilled practitioner in the field. Patients benefit from his comprehensive knowledge and experience, ensuring high-quality care in the areas of arthroplasty, hip surgeries, sports medicine, trauma, and fracture management. Dr. Theruvil's commitment to excellence is evident in his multifaceted approach to orthopedic surgery and patient well-being.
Dr. Theruvil specializes in orthopedic surgeries, with a particular focus on arthroplasty. Renowned for his expertise in hip surgeries, he also offers services in sports medicine. Additionally, he excels in trauma and fracture management. His proficiency extends to various aspects of orthopedics, making him a versatile and skilled practitioner in the field. Patients benefit from his comprehensive knowledge and experience, ensuring high-quality care in the areas of arthroplasty, hip surgeries, sports medicine, trauma, and fracture management. Dr. Theruvil's commitment to excellence is evident in his multifaceted approach to orthopedic surgery and patient well-being.
Dr. Theruvil specializes in orthopedic surgeries, with a particular focus on arthroplasty. Renowned for his expertise in hip surgeries, he also offers services in sports medicine. Additionally, he excels in trauma and fracture management. His proficiency extends to various aspects of orthopedics, making him a versatile and skilled practitioner in the field. Patients benefit from his comprehensive knowledge and experience, ensuring high-quality care in the areas of arthroplasty, hip surgeries, sports medicine, trauma, and fracture management. Dr. Theruvil's commitment to excellence is evident in his multifaceted approach to orthopedic surgery and patient well-being.
Dr. Theruvil specializes in orthopedic surgeries, with a particular focus on arthroplasty. Renowned for his expertise in hip surgeries, he also offers services in sports medicine. Additionally, he excels in trauma and fracture management. His proficiency extends to various aspects of orthopedics, making him a versatile and skilled practitioner in the field. Patients benefit from his comprehensive knowledge and experience, ensuring high-quality care in the areas of arthroplasty, hip surgeries, sports medicine, trauma, and fracture management. Dr. Theruvil's commitment to excellence is evident in his multifaceted approach to orthopedic surgery and patient well-being.